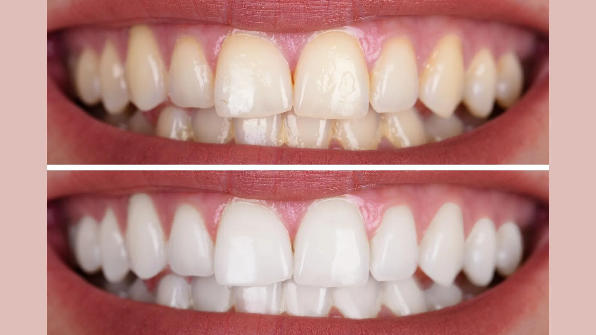
Understanding Teeth Whitening at the Dentist
Teeth whitening, a popular cosmetic dental procedure, aims to lighten the shade of your teeth and remove stains and discoloration. Many people seek this treatment to enhance their smiles and boost their confidence. But how long does teeth whitening take at the dentist? The answer isn’t a simple one, as the duration of the procedure varies depending on several factors, including the type of whitening treatment you choose and the severity of your tooth staining. This article will delve into the details of teeth whitening, exploring the different methods, the factors that influence the time it takes, and what you can expect during and after the procedure. Understanding these aspects will help you make informed decisions about achieving a brighter, more radiant smile.
Types of Teeth Whitening Treatments
Dentists offer several teeth whitening treatments, each with its own process and time commitment. The primary distinction lies between in-office and at-home whitening options. Both methods utilize bleaching agents, typically containing hydrogen peroxide or carbamide peroxide, to break down stains and lighten the teeth. However, the concentration of these agents and the application method differ significantly, influencing the time and effectiveness of the whitening process. Knowing the difference between these treatments is crucial to understand how long teeth whitening takes at the dentist and which option best suits your needs and lifestyle.
In-Office Whitening

In-office teeth whitening, also known as chairside bleaching, is a professional procedure performed by your dentist. This method usually involves applying a high-concentration bleaching agent to your teeth while protecting your gums and other soft tissues. The dentist may use a special light or laser to accelerate the whitening process. The primary advantage of in-office whitening is the immediate and dramatic results. It typically takes about 60 to 90 minutes to complete a session, and you can often see a significant improvement in the shade of your teeth in a single visit. The time factor makes in-office whitening ideal for those seeking quick results or those with significant tooth discoloration.
At-Home Whitening
At-home teeth whitening involves using custom-fitted trays or strips provided by your dentist. These trays are filled with a lower-concentration bleaching gel, which you wear for a specified period each day, usually for several hours or overnight, for several days or weeks. While at-home whitening is less immediate than in-office treatments, it offers more gradual but still noticeable results. The duration of at-home whitening varies depending on the product and the severity of the staining, but it generally takes one to two weeks to achieve the desired outcome. Your dentist will provide detailed instructions and monitor your progress to ensure safe and effective whitening.
Factors Influencing Whitening Time
Several factors impact how long teeth whitening takes at the dentist. Understanding these factors can help you set realistic expectations and choose the most suitable treatment for your situation. These factors include the severity of staining, the type of whitening treatment, and individual sensitivity levels. By considering these aspects, you can better anticipate the timeline and the overall effectiveness of the teeth whitening process. Consulting with your dentist is essential to determine the optimal approach and expected duration based on your unique dental health profile.
Severity of Staining

The extent and type of stains on your teeth significantly affect the whitening time. Surface stains caused by coffee, tea, or tobacco are usually easier to remove and require less time compared to intrinsic stains, which are deeper discolorations within the tooth structure. Intrinsic stains can be caused by genetics, certain medications, or trauma to the teeth. In-office whitening may be the most effective option for severe staining, while at-home treatments might require a longer duration to achieve the desired results. Your dentist will assess the type and severity of your stains to determine the most appropriate treatment plan and expected timeline.
Type of Whitening Treatment
As discussed earlier, the type of whitening treatment significantly influences the duration. In-office whitening provides immediate results in a single session, typically lasting one to two hours. In contrast, at-home whitening, which involves using custom trays or strips, requires several days or weeks to achieve the desired outcome. The specific product, concentration of the bleaching agent, and the duration of the treatment also impact the timeline. Your dentist will recommend a treatment option based on your individual needs, the severity of your staining, and your lifestyle preferences.
Tooth Sensitivity
Tooth sensitivity can affect the whitening process and, indirectly, the treatment time. Some individuals experience increased sensitivity during teeth whitening, which can make the procedure uncomfortable. Your dentist may recommend using a lower concentration of bleaching agent or providing desensitizing treatments to mitigate discomfort. Managing sensitivity could potentially extend the overall treatment time, but it is crucial to ensure a comfortable and safe whitening experience. Always communicate any sensitivity issues with your dentist so they can adjust the treatment plan accordingly.
Average Time for Dentist Teeth Whitening

The average time for teeth whitening at the dentist varies widely depending on the treatment selected. In-office whitening generally takes between 60 and 90 minutes for a single session, providing immediate results. At-home whitening requires more time, often spanning one to two weeks. The specific timeline depends on the concentration of the bleaching agent and how consistently you use the whitening products. It is essential to follow your dentist’s instructions carefully to achieve the best results and minimize potential side effects, like increased sensitivity. Regular check-ups with your dentist during at-home whitening are crucial to ensure the process is progressing safely and effectively.
In-Office Whitening Procedure Timeline
The in-office whitening procedure typically involves the following steps and timeline. First, your dentist will examine your teeth to assess your suitability for the treatment. Next, the dentist will clean your teeth to remove any surface debris. The dentist will then protect your gums with a special barrier. The whitening gel is then applied to your teeth, and a special light or laser is used to activate the bleaching agent. This process is repeated several times during the session. The entire procedure usually takes between 60 and 90 minutes. You’ll likely see a significant improvement in your teeth’s brightness after just one visit.
At-Home Whitening with Dentist Supervision Timeline
At-home whitening with dentist supervision typically involves these steps and time commitments. Your dentist will take impressions of your teeth to create custom-fitted trays. They will provide you with the whitening gel, instructions, and a schedule for use. You’ll wear the trays for the recommended amount of time each day, often for several hours or overnight. The duration of the treatment can range from one to two weeks, depending on the concentration of the bleaching agent and your teeth’s response. Regular check-ups with your dentist are necessary to monitor your progress and address any issues, such as increased sensitivity. Maintaining a consistent schedule and following your dentist’s instructions is crucial for effective and safe results.
Maximizing Your Whitening Results

To get the best results from your teeth whitening treatment, it is important to prepare well and follow post-whitening care instructions. Your dentist can provide personalized guidance to help you achieve and maintain a brighter, more confident smile. Consider a pre-whitening consultation to discuss your goals and to ensure you’re a good candidate for the procedure. Following the advice of your dentist can help you maximize the effects of your teeth whitening treatment and enjoy a beautiful smile for longer.
Pre-Whitening Consultation
Before starting any teeth whitening procedure, a consultation with your dentist is crucial. During this consultation, your dentist will evaluate your oral health, identify the type and severity of your stains, and discuss your expectations. They will also determine if you are a good candidate for teeth whitening, as the procedure may not be suitable for everyone. This consultation enables your dentist to recommend the most appropriate treatment option, explain the process, and provide a realistic timeline and expected results. Preparing your questions and concerns for this consultation can ensure you get the most out of it.
Post-Whitening Care
Proper post-whitening care is essential to maintain your newly whitened smile. Following your dentist’s instructions will help prevent your teeth from re-staining. This usually involves avoiding foods and drinks that can stain your teeth, such as coffee, tea, red wine, and dark berries, for at least a few days after the treatment. You should also maintain good oral hygiene by brushing your teeth twice a day, flossing daily, and using a whitening toothpaste. Your dentist may also recommend follow-up appointments or touch-up treatments to maintain your results. By taking good care of your teeth, you can extend the longevity of your bright smile.
Maintaining Your Bright Smile

Maintaining your bright smile requires a consistent commitment to oral hygiene and a proactive approach to preventing stains. Regular brushing, flossing, and dental check-ups are essential. Consider using a whitening toothpaste to help maintain your results. Limit your intake of staining foods and beverages. If you do consume them, rinse your mouth with water afterward. Schedule regular dental cleanings to remove any surface stains and keep your teeth looking their best. Periodic touch-up treatments with your dentist can also help maintain your desired level of whiteness, ensuring that your smile remains bright and confident.
