What is Teeth Whitening Bend OR?
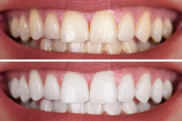
Teeth whitening in Bend, Oregon, is a cosmetic dental procedure designed to lighten the shade of your teeth, removing stains and discoloration. This procedure is a popular choice for people seeking to enhance their smile and boost their confidence. It involves using bleaching agents to break down the stains on the enamel, resulting in a brighter, more aesthetically pleasing appearance. The process can be done in a dental office or at home, using various methods and products depending on your preference and the dentist’s recommendation. It’s a versatile procedure suitable for individuals with stained teeth from coffee, tea, tobacco, or the natural aging process. Understanding the basics of teeth whitening in Bend, OR, is the first step towards achieving a radiant smile.
How Teeth Whitening Bend OR Works
The fundamental process of teeth whitening in Bend, OR, involves the use of bleaching agents, typically hydrogen peroxide or carbamide peroxide. These agents penetrate the enamel of your teeth and break down the molecules that cause stains and discoloration. The process doesn’t damage the tooth structure; instead, it alters the staining substances, making them less concentrated and, therefore, less visible. In-office treatments generally use higher concentrations of bleaching agents, often accelerated with special lights or lasers to speed up the process. At-home kits use lower concentrations, requiring more time to achieve the desired results. The effectiveness depends on the severity of the stains, the whitening agent used, and the duration of the treatment. Consulting a dentist in Bend, OR, is crucial to determine the most suitable whitening method for your specific needs and expectations.
Types of Teeth Whitening Bend OR

Several methods of teeth whitening are available in Bend, OR, each catering to different preferences and lifestyles. In-office whitening, performed by a dentist, offers the most immediate and dramatic results. These treatments typically involve a high concentration of bleaching agents and may include the use of special lights or lasers to accelerate the whitening process. At-home whitening kits, prescribed or recommended by your dentist, provide a more gradual approach. These kits often include custom-fitted trays and a lower concentration of bleaching agents, allowing you to whiten your teeth at your convenience. Over-the-counter whitening products, such as strips and toothpastes, are also available. However, they generally contain lower concentrations of whitening agents and may not be as effective for significant staining. Choosing the right type of teeth whitening in Bend, OR, depends on your budget, the degree of discoloration, and your desired outcome.
In-Office Teeth Whitening Bend OR
In-office teeth whitening, offered by many dentists in Bend, OR, is the most efficient way to achieve a brighter smile. This procedure is carried out under the supervision of a dental professional, ensuring safety and effectiveness. The dentist applies a high-concentration bleaching agent to your teeth, carefully protecting your gums and other soft tissues. A special light or laser might be used to activate the whitening agent and expedite the process. The entire treatment typically takes about an hour and can lighten your teeth several shades in a single session. In-office whitening is ideal for individuals seeking immediate results and can be a great option before a significant event or simply to enhance their appearance. A dentist in Bend, OR, will assess your dental health to determine if this method is suitable for you.
At-Home Teeth Whitening Bend OR
At-home teeth whitening in Bend, OR, offers a convenient and cost-effective alternative to in-office treatments. This method typically involves custom-fitted trays provided by your dentist, along with a bleaching gel. You apply the gel to the trays and wear them for a specific duration each day, as instructed by your dentist. The process usually takes a few weeks to achieve the desired results, with the gradual approach minimizing tooth sensitivity. At-home whitening is a great option for those who prefer to whiten their teeth on their schedule and who have milder staining. It requires diligence and consistency to see the best results. Your Bend, OR dentist will guide you through the process, ensuring safe and effective whitening.
Benefits of Teeth Whitening Bend OR

Teeth whitening offers numerous advantages that extend beyond just a brighter smile. This cosmetic procedure can significantly boost your self-esteem and make you feel more confident. A beautiful smile can positively influence your social interactions and overall well-being. Apart from the cosmetic benefits, teeth whitening also encourages good oral hygiene habits, as you’re more likely to maintain a healthy smile. If you’re considering teeth whitening in Bend, OR, the positive impact on your self-perception and social life is an important aspect to consider. A whiter smile can also create a more youthful appearance, further enhancing your confidence.
Enhances Your Smile
One of the most obvious benefits of teeth whitening in Bend, OR, is the enhancement of your smile. It removes stains caused by various factors such as coffee, tea, red wine, and tobacco, leaving your teeth visibly brighter. This transformation can significantly improve your overall appearance and make you feel more attractive. A whiter smile can also contribute to a more youthful look, as stained teeth can make you appear older. The aesthetic improvement is one of the primary reasons people in Bend, OR, opt for teeth whitening, providing a quick and effective way to rejuvenate their smile and overall appearance.
Boosts Confidence
Having a brighter, whiter smile can significantly boost your self-confidence. Feeling good about your appearance can have a ripple effect on your daily life, making you feel more comfortable in social settings and more assertive in professional environments. Teeth whitening in Bend, OR, is a straightforward way to improve your self-esteem. A confident smile is often the first thing people notice, and it can leave a lasting positive impression. It helps you feel more comfortable in expressing yourself and can encourage you to be more outgoing, leading to improved social interactions and overall well-being.
Improves Oral Health

While teeth whitening is primarily a cosmetic procedure, it can also indirectly promote better oral health habits. People who invest in whitening their teeth often become more diligent about their oral hygiene, including regular brushing, flossing, and dental check-ups. They are motivated to maintain the results of their teeth whitening, which in turn leads to healthier teeth and gums. Maintaining a bright smile encourages consistency in the daily habits that contribute to a healthy mouth. If you want to maintain your investment on teeth whitening in Bend, OR, then you must maintain good oral health.
Teeth Whitening Bend OR Considerations
Before undergoing teeth whitening in Bend, OR, it’s essential to consider several factors to ensure the best results and to avoid any potential complications. Understanding the cost, potential side effects, and suitability of the procedure for your specific needs is crucial. Always consult with a qualified dentist in Bend, OR, to discuss your options, assess your dental health, and address any concerns. Proper preparation and realistic expectations will help you achieve a beautiful, healthy smile while minimizing any risks.
Cost of Teeth Whitening Bend OR
The cost of teeth whitening in Bend, OR, varies based on the type of treatment you choose. In-office whitening, which provides immediate results, tends to be more expensive than at-home options. The price depends on the dentist’s fees, the specific whitening agents used, and the complexity of the procedure. At-home kits, whether prescribed by a dentist or purchased over-the-counter, are generally more affordable. However, the cumulative cost might be higher if multiple kits are needed to achieve the desired results. It is essential to get a detailed quote from your Bend, OR, dentist and to inquire about any potential additional costs, such as follow-up appointments or maintenance products.
Sensitivity after Teeth Whitening Bend OR

Tooth sensitivity is a common side effect of teeth whitening in Bend, OR. The bleaching agents used in the process can temporarily make your teeth more sensitive to hot or cold temperatures. This sensitivity is usually temporary, subsiding within a few days to a couple of weeks after the treatment. Your dentist can provide recommendations to minimize sensitivity, such as using toothpaste designed for sensitive teeth or applying fluoride treatments. It’s also advisable to avoid very hot or cold foods and drinks during the treatment and the immediate post-treatment period. Proper aftercare will help manage any discomfort and ensure a positive experience.
Teeth Whitening Bend OR Side Effects
Besides sensitivity, other potential side effects of teeth whitening in Bend, OR, include gum irritation or inflammation, especially if the bleaching agent comes into contact with the gums. This irritation is typically mild and resolves quickly. Another less common side effect is uneven whitening, where some areas of your teeth whiten more than others. This is often due to variations in the enamel thickness or the presence of fillings and other dental work. It is always best to consult with a dentist in Bend, OR, before proceeding with the process to properly manage the side effects and to ensure that whitening is suitable for you. Following your dentist’s instructions will minimize potential risks and promote a successful outcome.
Choosing the Right Teeth Whitening Bend OR
Choosing the right teeth whitening option in Bend, OR, requires careful consideration. Selecting the appropriate method ensures you achieve the desired results while minimizing potential risks and maximizing your comfort. This involves assessing your individual needs, consulting with a dental professional, and understanding the different treatment options available. A personalized approach, informed by the advice of an experienced dentist, is key to achieving a brighter, healthier smile. It is important to choose a dentist in Bend, OR, that fits your budget, expectations, and preference.
Consult Your Dentist First

Before undertaking any teeth whitening procedure in Bend, OR, consulting with your dentist is crucial. A dental professional can assess your oral health, identify any underlying issues, and determine if teeth whitening is safe and appropriate for you. They can also provide personalized recommendations, considering your specific needs and the degree of discoloration. They will guide you through the options, explain the potential risks and benefits, and help you set realistic expectations. Consulting your dentist will ensure you receive the best possible results and avoid any unexpected complications.
Research Clinics
When choosing a teeth whitening clinic in Bend, OR, it’s essential to do your research. Look for a reputable dental practice with experienced professionals. Check their credentials, read online reviews, and ask for recommendations. Ensure the clinic uses high-quality materials and equipment and that they follow stringent safety protocols. A clinic that prioritizes patient comfort and satisfaction is key. A well-researched clinic will help you achieve the desired results safely and professionally. Don’t hesitate to contact several clinics, ask questions, and compare your options before making your final decision.
Read Reviews
Reading online reviews is a great way to get a sense of the experiences of previous patients. Pay close attention to what other patients in Bend, OR, are saying about the clinic, the dentist, and the results of their teeth whitening treatments. Reviews can provide insights into the quality of service, the professionalism of the staff, and the overall patient experience. Look for patterns in the feedback, both positive and negative, to make an informed decision. Reviews can provide a more realistic perspective on what to expect, helping you choose a clinic that aligns with your expectations and needs. Reading reviews can help you avoid unpleasant surprises and ensure you’re choosing a clinic that is right for you.
Maintaining Your Whitened Smile

After getting your teeth whitened in Bend, OR, maintaining your bright smile is crucial for long-lasting results. This involves a combination of good oral hygiene habits and lifestyle choices. You can take several steps to ensure that your teeth remain white and radiant for an extended period. Consistent care and attention will help you enjoy a beautiful, confident smile for years to come.
Best Practices
To maintain your teeth’s whiteness, follow a consistent oral hygiene routine, including brushing twice a day with whitening toothpaste and flossing daily. Regular dental check-ups and professional cleanings are essential to remove any surface stains and maintain your overall oral health. Avoid using tobacco products and limit your consumption of staining foods and beverages such as coffee, tea, and red wine. Consider using at-home touch-up treatments as recommended by your dentist to ensure your smile remains radiant. The best way to maintain the results of your teeth whitening in Bend, OR, is with preventative measures and consistent care.
Diet and Habits
Your diet and habits play a significant role in the longevity of your teeth whitening results. Minimize your intake of foods and drinks known to stain teeth, such as coffee, tea, red wine, and dark-colored berries. If you do consume these, rinse your mouth with water afterward to reduce the staining effects. Avoid tobacco products, as they are a major contributor to tooth discoloration. A balanced diet rich in calcium and other nutrients will also help maintain your oral health and contribute to a brighter smile. By being mindful of your dietary choices and habits, you can greatly extend the life of your teeth whitening results and keep your smile looking its best.
