5 Best Teeth Whitening Tips for Newry Residents
Achieving a brighter, more confident smile is easier than you think, especially if you’re a resident of Newry. Teeth whitening has become a popular cosmetic procedure, with numerous options available. Whether you’re considering professional treatments or at-home solutions, understanding the best practices is essential. This guide provides five key tips to help you achieve the radiant smile you desire. From choosing the right whitening method to maintaining your results, we’ll cover everything you need to know to make an informed decision and enjoy a dazzling smile. Embracing these tips will not only enhance your appearance but also boost your self-esteem. So, if you’re looking to transform your smile, keep reading to discover how you can achieve a brighter, more confident you right here in Newry.
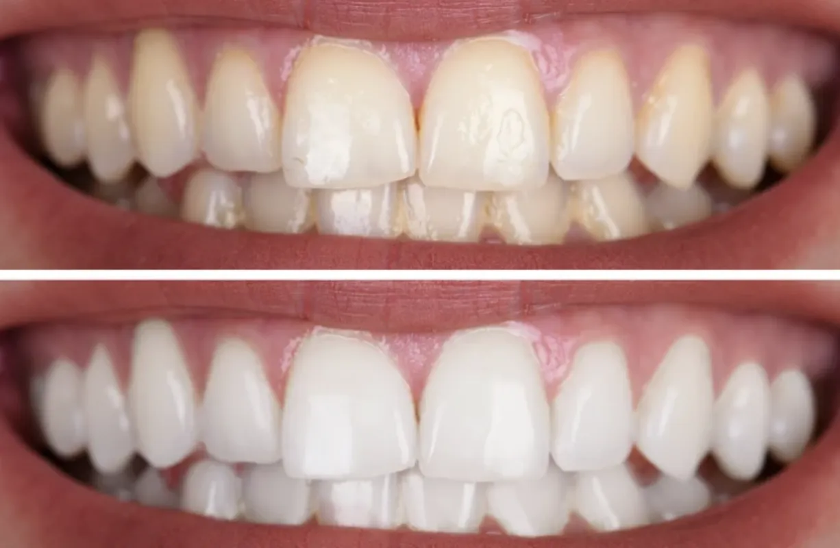
Understanding Teeth Whitening Treatments
Teeth whitening treatments work by removing stains and discoloration from your teeth, enhancing their natural brightness. There are two main categories of whitening treatments professional and at-home. Professional treatments, typically offered by dentists in Newry, often involve stronger bleaching agents and can produce faster results. At-home options include whitening toothpaste, strips, and gels, which are generally less potent and require more time to show noticeable improvements. Understanding the different types of stains extrinsic and intrinsic is also important. Extrinsic stains affect the enamel surface and are often caused by food, drinks, and tobacco use. Intrinsic stains are located within the tooth’s structure and may result from aging, medication, or trauma. Choosing the right treatment depends on the type of stain and your desired outcome. Consult with a dental professional in Newry to determine the most suitable option for your needs and dental health.
Professional Teeth Whitening in Newry

For those seeking rapid and dramatic results, professional teeth whitening in Newry is an excellent choice. Local dentists offer in-office whitening treatments, which usually involve a high-concentration bleaching agent applied to your teeth under controlled conditions. The dentist may use a special light or laser to accelerate the whitening process, further enhancing the results. This method can significantly lighten your teeth in just one or two sessions, providing an immediate boost to your smile’s appearance. Before undergoing any professional whitening treatment, a thorough dental examination is conducted to assess your overall oral health. This ensures that your teeth and gums are in good condition and suitable for the procedure. The dentist will also discuss your expectations and the potential outcomes, helping you make an informed decision. The advantage of professional teeth whitening lies in its efficacy and the expert supervision throughout the process, ensuring both safety and effectiveness. Seek the advice of a trusted dental professional in Newry to explore your options and determine what is best for your specific dental needs.
The Benefits of Professional Whitening
Professional teeth whitening offers several advantages over at-home methods. Firstly, it provides faster and more visible results. The strong bleaching agents used in-office can remove stubborn stains that at-home products might not address. Secondly, the procedure is performed under the supervision of a dental professional, minimizing the risk of side effects and ensuring the safety of your teeth and gums. Thirdly, professional whitening is tailored to your specific needs. Your dentist can assess the condition of your teeth and gums, addressing any underlying issues before proceeding. They can also customize the treatment to achieve your desired level of whitening. Finally, professional treatments offer a higher level of convenience, requiring fewer sessions and less time commitment. These advantages make professional teeth whitening a popular choice for individuals seeking a brighter, healthier smile in Newry. Investing in professional whitening can significantly enhance your appearance and boost your self-confidence.
Types of Professional Whitening Procedures
Various professional teeth whitening procedures are available in Newry, each tailored to different needs and preferences. The most common method is in-office bleaching, where a high-concentration peroxide gel is applied to your teeth. A special light or laser is often used to activate the bleaching agent, accelerating the process and enhancing the results. Another option is custom-fitted whitening trays, which your dentist provides after taking impressions of your teeth. These trays are used at home for a specific period, typically for a few weeks, with a lower-concentration bleaching gel. In some cases, your dentist might recommend a combination of in-office and at-home treatments to achieve optimal results. This approach allows for a more gradual and controlled whitening process. The choice of procedure depends on your dental health, the severity of the staining, and your desired level of whitening. Your dentist in Newry will assess your individual needs and recommend the most appropriate procedure to help you achieve a beautiful, bright smile. Consulting with your dental professional allows you to make the best decision for your teeth whitening goals.
At-Home Teeth Whitening in Newry

At-home teeth whitening offers a convenient and cost-effective way to brighten your smile. Many over-the-counter products are available in Newry, including whitening toothpaste, strips, and gels. Whitening toothpaste contains mild abrasives and chemicals that help remove surface stains. Whitening strips are thin, flexible strips coated with a bleaching agent that you apply directly to your teeth. Whitening gels are applied using custom-fitted or pre-formed trays. These products typically contain lower concentrations of peroxide compared to professional treatments, and the results may take longer to appear. It’s important to follow the instructions carefully and use these products as directed to avoid potential side effects, such as tooth sensitivity or gum irritation. While at-home products can be effective for mild to moderate staining, they may not be as powerful as professional treatments. If you have significant discoloration or specific concerns, it’s advisable to consult with a dentist in Newry to determine the best course of action and select the most suitable at-home product for your needs.
Choosing the Right At-Home Products
Selecting the right at-home teeth whitening product can be overwhelming, given the variety of options available in Newry. Consider several factors when making your choice. First, evaluate your teeth’s condition and the type of staining you have. If you have only surface stains, whitening toothpaste or strips might be sufficient. For more significant discoloration, you might need a gel with custom trays. Second, check the product’s active ingredients, usually hydrogen peroxide or carbamide peroxide, and their concentration. Higher concentrations often yield faster results, but they can also increase the risk of sensitivity. Third, read reviews and check for reputable brands known for their efficacy and safety. Consulting with your dentist in Newry can provide personalized recommendations based on your oral health. They can also advise on the best methods and products to suit your specific needs and help you maintain the health of your teeth and gums throughout the process. Doing your research ensures that you’re choosing a product that is not only effective but also safe and suitable for your teeth.
Important Factors to Consider
Before undergoing any teeth whitening treatment, several factors should be considered. Firstly, your current oral health is crucial. If you have any existing dental issues, such as cavities, gum disease, or sensitive teeth, these need to be addressed before whitening. Whitening agents can exacerbate these conditions. Secondly, the type of stains and their severity affect the treatment’s effectiveness. Surface stains often respond well to at-home products, while deeper stains may require professional intervention. Thirdly, your expectations should be realistic. Teeth whitening can significantly improve your smile, but the results vary depending on individual factors. Finally, it is important to discuss any medical conditions or allergies with your dentist in Newry before starting any teeth whitening procedure. A thorough examination will help determine the best and safest approach. This will enable your dental professional to guide you towards a treatment plan that is safe and effective for your specific needs.
Maintaining Your Whitened Smile

Once you’ve achieved your desired level of whiteness, maintaining your results is essential. This involves adopting good oral hygiene habits, avoiding stain-causing foods and drinks, and attending regular dental check-ups in Newry. Brushing your teeth twice a day with a whitening toothpaste can help remove surface stains and maintain the brightness. Flossing daily removes plaque and food particles from between your teeth, preventing stains from forming. Avoiding or limiting the consumption of stain-causing foods and beverages, such as coffee, tea, red wine, and berries, can also help. Regular dental check-ups and cleanings are vital for removing plaque and tartar buildup, which can dull your smile. Your dentist may also recommend touch-up whitening treatments to maintain your results. Following these practices ensures that your smile remains bright and beautiful for a longer duration. Consistent effort and mindful choices are the keys to a lasting, radiant smile.
Long-Term Oral Hygiene Habits
Establishing long-term oral hygiene habits is crucial for maintaining your whitened smile and overall dental health. This includes brushing your teeth twice daily with fluoride toothpaste for at least two minutes each time. Ensure you brush all surfaces of your teeth and gums. Flossing daily removes food particles and plaque from between your teeth, preventing staining and gum disease. Using an antibacterial mouthwash can further reduce bacteria and freshen breath. Regularly replace your toothbrush every three months or sooner if the bristles become frayed. Consider using an electric toothbrush for more effective plaque removal. Additionally, schedule regular dental check-ups and cleanings every six months or as recommended by your dentist in Newry. These appointments are essential for professional cleaning and early detection of any dental issues. Implementing these habits will not only keep your teeth white but also maintain your mouth’s overall health, enhancing your smile for many years to come.
Foods and Drinks to Avoid
Certain foods and drinks can stain your teeth, undoing the effects of whitening treatments. Limiting or avoiding these items is key to maintaining a bright smile. Coffee, tea, and red wine are notorious for causing stains due to their high pigment content. Dark-colored sodas and fruit juices can also stain your teeth over time. Berries, such as blueberries and strawberries, and other highly pigmented fruits can contribute to staining. Additionally, acidic foods and drinks, like citrus fruits and vinegar, can erode enamel, making your teeth more susceptible to stains. If you consume these items, rinse your mouth with water immediately afterward or brush your teeth after a reasonable time to minimize staining. Furthermore, consider using a straw for beverages to reduce direct contact with your teeth. Being mindful of these dietary choices can significantly extend the lifespan of your teeth whitening results, helping you maintain a radiant smile for a longer period.
Seeking Professional Advice in Newry

The most important step in achieving a brighter smile is to seek professional advice from a qualified dentist in Newry. They can assess your oral health, determine the best teeth whitening method for your needs, and guide you through the entire process. During your consultation, the dentist will examine your teeth and gums to identify any existing issues that might need treatment before whitening. They can discuss your expectations and recommend the most appropriate professional or at-home treatments. They will also provide valuable advice on aftercare and maintenance to help you preserve your bright smile. Don’t hesitate to ask questions about the procedures, potential risks, and expected outcomes. Taking the initiative to consult with a dental professional ensures you make informed decisions and achieve the best possible results safely. Your dentist is your partner in achieving a healthy and radiant smile, offering the expertise and personalized care needed to make the teeth whitening journey a success.
In conclusion, achieving a brighter smile in Newry involves understanding the various teeth whitening options available and following the best practices for maintaining your results. From professional treatments to at-home methods, and long-term oral hygiene, a comprehensive approach is essential. By following the tips outlined above, and consulting with a dental professional, you can confidently embark on your teeth whitening journey. Embrace the possibilities and enjoy the confidence that comes with a radiant, healthy smile. Remember, a brighter smile not only enhances your appearance but also boosts your self-esteem. So, start today and take the first step towards a more confident you!
